
เครื่องดื่มนี้ทำลายกระดูก แต่หลายคนยังดื่มมันทุกวัน
ในชีวิตประจำวันของผู้คนยุคปัจจุบัน เครื่องดื่มได้กลายเป็นส่วนหนึ่งของกิจวัตรที่ขาดไม่ได้ ไม่ว่าจะเป็นกาแฟ น้ำอัดลม เครื่องดื่มชูกำลัง หรือเครื่องดื่มรสหวานต่าง ๆ หลายคนดื่มมันโดยไม่ทันคิดถึงผลกระทบระยะยาวต่อร่างกาย หนึ่งในประเด็นที่ถูกพูดถึงมากขึ้นเรื่อย ๆ คือความเชื่อว่าเครื่องดื่มบางชนิดอาจส่งผลเสียต่อสุขภาพกระดูก ทำให้กระดูกอ่อนแอ เปราะบาง และเสี่ยงต่อการแตกหักได้ง่ายขึ้น แม้จะมีคำเตือนมากมาย แต่ผู้คนจำนวนไม่น้อยก็ยังคงดื่มเครื่องดื่มเหล่านี้ทุกวัน
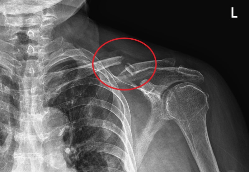
สาเหตุสำคัญที่ทำให้เครื่องดื่มบางชนิดถูกมองว่า “ทำลายกระดูก” มักเกี่ยวข้องกับส่วนประกอบ เช่น น้ำตาลในปริมาณสูง คาเฟอีน หรือกรดฟอสฟอริก สารเหล่านี้อาจรบกวนการดูดซึมแคลเซียมของร่างกาย หากบริโภคต่อเนื่องเป็นเวลานาน ร่างกายอาจสูญเสียแร่ธาตุที่จำเป็นต่อความแข็งแรงของกระดูก โดยเฉพาะในกลุ่มวัยรุ่น วัยทำงาน และผู้สูงอายุที่ต้องการแคลเซียมอย่างเพียงพอเพื่อเสริมสร้างและคงสภาพมวลกระดูก
อย่างไรก็ตาม เหตุผลที่หลายคนยังคงดื่มเครื่องดื่มเหล่านี้ทุกวันก็เป็นเพราะความสะดวก ความเคยชิน และแรงกดดันจากสังคม เครื่องดื่มหวานช่วยให้รู้สึกสดชื่น กาแฟช่วยให้ตื่นตัว และน้ำอัดลมมักถูกเชื่อมโยงกับช่วงเวลาแห่งความสุข เช่น การพบปะเพื่อนฝูงหรือการพักผ่อน ความพึงพอใจในระยะสั้นจึงกลบความกังวลด้านสุขภาพในระยะยาวไปโดยไม่รู้ตัว![]()
อีกปัจจัยหนึ่งคือการขาดความรู้และความเข้าใจที่ถูกต้อง หลายคนอาจเคยได้ยินว่าเครื่องดื่มบางชนิดไม่ดีต่อกระดูก แต่ไม่ทราบถึงกลไกหรือผลกระทบที่แท้จริง จึงมองว่าเป็นเรื่องไกลตัว หรือคิดว่าดื่มเพียงเล็กน้อยคงไม่เป็นไร เมื่อเวลาผ่านไป การดื่มเล็กน้อยก็กลายเป็นนิสัยประจำวันโดยไม่รู้ตัว ส่งผลสะสมต่อสุขภาพในระยะยาว
การดูแลสุขภาพกระดูกไม่ใช่เรื่องยาก หากเริ่มจากการตระหนักรู้และปรับพฤติกรรมการบริโภค เราสามารถลดปริมาณเครื่องดื่มที่มีน้ำตาลสูงหรือคาเฟอีนมาก หันมาดื่มน้ำเปล่า นม หรือเครื่องดื่มที่มีประโยชน์ต่อร่างกายมากขึ้น นอกจากนี้ การรับประทานอาหารที่อุดมด้วยแคลเซียม วิตามินดี และการออกกำลังกายอย่างสม่ำเสมอ เช่น การเดินหรือการยกน้ำหนักเบา ๆ ก็ช่วยเสริมสร้างความแข็งแรงของกระดูกได้เป็นอย่างดี
สุดท้ายนี้ เครื่องดื่มอาจไม่ใช่ “ผู้ร้าย” โดยตรง หากเรารู้จักดื่มอย่างพอดีและมีสติ ปัญหาที่แท้จริงคือการบริโภคมากเกินไปโดยไม่คำนึงถึงผลกระทบต่อร่างกาย การหันกลับมาดูแลสุขภาพตั้งแต่วันนี้ จะช่วยให้เรามีกระดูกที่แข็งแรงและคุณภาพชีวิตที่ดีในระยะยาว เพราะสุขภาพที่ดีไม่ใช่เรื่องของวันเดียว แต่เป็นผลลัพธ์ของการเลือกในทุก ๆ วันของเราเอง
บทความในหมวดเดียวกัน


4 นักษัตรที่ไม่ซื่อตรงเรื่องเงินทอง ควรหลีกเลี่ยงการให้ยืมเงิน มิฉะนั้นอาจ ‘สูญเสียหมดสิ

สัตว์ตัวแรกที่คุณมองเห็น จะเผยสิ่งที่น่าทึ่งเกี่ยวกับบุคลิกภาพของคุณ

คนส่วนใหญ่ไม่รู้ความหมายของการสวมแหวนที่นิ้วหัวแม่มือ

5 สัญญาณเตือนการอุดตันของหลอดเลือดที่ขาและเท้า

ผักวอเตอร์เครส ผักใบเขียวธรรมดาแต่คุณค่าสูง นักวิจัยพบสารช่วยลดความเสี่ยงมะเร็ง

แพทย์เผยว่าการกินกะหล่ำปลีทำให้เกิด…

เป็นตะคริวที่ขาตอนกลางคืน อย่ามองข้าม แพทย์ชี้อาจเป็นสัญญาณเตือนจากร่างกาย

สองนักษัตรที่อาภัพที่สุดในบรรดา 12 นักษัตร: ชีวิตยากลำบาก ต้องเป็นฝ่ายเสียเปรียบอยู่เสมอ

กระเจี๊ยบเขียวดีจริง แต่ 3 กลุ่มเสี่ยงควรกินระวัง

แพทย์เตือน ต่อให้หิวแค่ไหน ก็ไม่ควรกิน 6 เมนูนี้ในตอนเช้า

ผู้หญิงต้องกล้าพูด พฤติกรรมเสี่ยงที่อาจนำไปสู่มะเร็งปากมดลูก

เส้นเลือดปูดนูน ไม่ใช่แค่เรื่องความสวยงาม แพทย์เตือนสัญญาณสุขภาพ

มีสัญญาณเกี่ยวกับการเดิน 2 อย่างนี้ ควรระวังโรคไตวายอาจกำลัง “มาเคาะประตู”

แพทย์กำลังกินอาหารเหล่านี้เพื่อปกป้องหลอดเลือด: หากกินทุก ๆ 2 วัน จะช่วยลดไขมันในเลือดและ

ฝรั่ง-ส้มหลบไป! นี่คือ "ผลไม้ที่ให้วิตามินซีสูงที่สุด" ถ้าเทียบน้ำหนักเท่ากัน

5 ตำแหน่งบนร่างกายที่กำลังเผชิญความเสี่ยงโรคร้ายอย่างเงียบ ๆ ใคร ๆ ก็ควรรู้ไว้ตั้งแต่เนิ่

ผลไม้ 5 ชนิดที่เปรียบเสมือน “มอยส์เจอไรเซอร์จากธรรมชาติ” หาซื้อได้ง่ายตามตลาด: อร่อย มีคุณ

ผู้ที่เป็นภาวะกล้ามเนื้อหัวใจตายจากการขาดเลือดไปเลี้ยงสมองมีจำนวนเพิ่มขึ้นเรื่อยๆ แพท
บทความใหม่

วิศวกรก่อสร้างมากประสบการณ์ 30 ปี เผยเหตุผลที่ไม่ควรสร้างห้องน้ำใต้บันได

อย่าปลูกต้นไม้ 3 ชนิดนี้ไว้หน้าบ้าน ไม่เช่นนั้นจะมีความเสี่ยงเป็นหนี้สินและลำบาก

ผ้าไม้ถูพื้นสกปรกแค่ไหนก็เอาอยู่! แค่ใส่ “สิ่งนี้” ลงในน้ำ สะอาดไว ไร้กลิ่น ไม่ต้องซักแรง

คฑา ชินบัญชร เปิด 3 ราศี เฮงยืนหนึ่ง มีโชคจากคนรัก การงานก้าวหน้าได้รับการยอมรับ

4 นักษัตรที่ไม่ซื่อตรงเรื่องเงินทอง ควรหลีกเลี่ยงการให้ยืมเงิน มิฉะนั้นอาจ ‘สูญเสียหมดสิ

สัตว์ตัวแรกที่คุณมองเห็น จะเผยสิ่งที่น่าทึ่งเกี่ยวกับบุคลิกภาพของคุณ

คนส่วนใหญ่ไม่รู้ความหมายของการสวมแหวนที่นิ้วหัวแม่มือ

อดีตคนรัก ส่งเงินให้ "ครึ่งแสน" เป็นของขวัญวิวาห์ อ่านการ์ดสั้นๆ ว่าที่เจ้าสาวร้องไห้ทันท

5 สัญญาณเตือนการอุดตันของหลอดเลือดที่ขาและเท้า

ผักวอเตอร์เครส ผักใบเขียวธรรมดาแต่คุณค่าสูง นักวิจัยพบสารช่วยลดความเสี่ยงมะเร็ง

แพทย์เผยว่าการกินกะหล่ำปลีทำให้เกิด…

เป็นตะคริวที่ขาตอนกลางคืน อย่ามองข้าม แพทย์ชี้อาจเป็นสัญญาณเตือนจากร่างกาย

สองนักษัตรที่อาภัพที่สุดในบรรดา 12 นักษัตร: ชีวิตยากลำบาก ต้องเป็นฝ่ายเสียเปรียบอยู่เสมอ

เงินเก็บทั้งชีวิต! หลานๆ ตื่นเต้นเจอ "ถุงสมบัติ" เต็มบ้านยาย ต้องช่วยกันนับ ก่อนเฉลยยอดรวม

ผลวิจัยจากฮาร์วาร์ด ชี้ 5 ลักษณะเด็กที่มีแนวโน้มเติบโตเป็นผู้ใหญ่ที่ประสบความสำเร็จและม

กระเจี๊ยบเขียวดีจริง แต่ 3 กลุ่มเสี่ยงควรกินระวัง

แพทย์เตือน ต่อให้หิวแค่ไหน ก็ไม่ควรกิน 6 เมนูนี้ในตอนเช้า

ผู้หญิงต้องกล้าพูด พฤติกรรมเสี่ยงที่อาจนำไปสู่มะเร็งปากมดลูก
